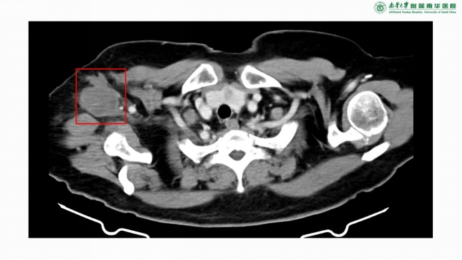
一位68岁女性患者于2024年2月确诊右侧腋窝滑膜肉瘤,辗转省内外多家医院,均被告知无法进行根治性切除。因患者拒绝化疗,去年6月,该患者至南华大学附属南华医院肿瘤科接受调强放疗,治疗后肿瘤一度缩小。然而近期,肿块再次增大,且出现右上肢肿胀、麻木等症状。

△右侧腋窝滑膜肉瘤
面对这一复杂棘手的病情,南华医院医疗团队迎难而上。2025年11月12日,团队成功为患者实施大孔径定位CT引导下的三维后装插植放疗,单次剂量达30Gy(生物等效剂量约120Gy),治疗过程顺利。这一精准放疗新技术的开展,为患者开辟了新的生命通道。

△大孔径CT引导下插植术
南华大学附属南华医院肿瘤科主任唐三元介绍,插植放疗属于近距离放疗的一种先进形式。治疗过程中,放疗专家首先在CT引导下精准地将“插植针”置入肿瘤病灶;随后,在后装放疗机房内,将插植针连接至后装设备,通过放射源在肿瘤内部直接照射,实现“中心爆破”式杀灭癌细胞。该技术具有高效、精准的特点,同时对周围正常组织损伤极小,安全性高。
此次三维后装插植放疗技术的成功开展,不仅标志着南华医院在局部晚期肉瘤放疗领域取得重要突破,更在衡阳市开创了该技术应用的先河,为更多复杂肿瘤患者带来新的治疗希望。